在牙周科的患者中,有不少年轻患者因为牙龈退缩的问题来看专家。
最近,牙周科副主任医师丁佩惠接诊了一位25岁的女孩深深,甜美可爱,但她却为自己的牙龈感到困扰。

丁医生,我的牙齿虽然整齐,但是一笑就会露出大牙龈,而牙龈萎缩导致牙根露出一截,牙齿遇酸遇冷特别敏感,希望能通过治疗让牙龈变得更美观。有没有办法让我的牙龈重新长回去?
以往有些人可能经常使用”牙龈萎缩“一词来形容像你牙齿的这种情况,其实正确的说法是牙龈退缩。如果检查后符合条件,可以通过牙龈的整形美容手术达到良好的改善效果。
像我这么年轻,平时也很注意口腔卫生的,为什么也会牙龈退缩?
对于牙龈退缩,有一个观点认为是生理性的增龄变化或病理现象,觉得“人老了、年纪大了,慢慢都会有的”。其实并不全是如此。牙龈退缩并不一定是增龄变化,有证据表明,一些牙周健康的高龄者并不会发生牙龈退缩。牙龈退缩的发生,更多与创伤、炎症等因素相关。
什么是牙龈退缩?
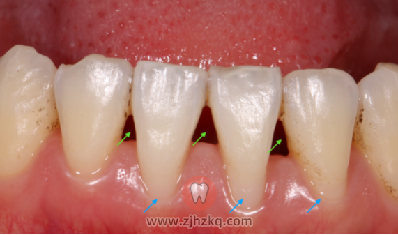
牙龈退缩是指牙龈边缘由牙冠牙根交界处向牙根方向退缩致使牙根暴露。


常见的牙龈退缩病因有哪些?
1. 外力创伤。刷牙是外伤所引起牙龈退缩的最常见成因。不合适的刷牙方法或牙刷刷毛过硬都可能导致这一问题。
2. 解剖因素。牙齿错位使得唇侧牙槽骨骨板薄,若骨板发生吸收,牙龈会随之退缩。与牙龈组织厚度也有一定关系,中国人的牙龈较多为薄龈型,更容易发生退缩。
3. 正畸力和咬合力。在牙齿受到过大的咬合力时,或正畸治疗中使牙齿向唇颊向移动时,常易发生牙龈退缩。
4. 不良修复体。假牙的边缘压迫牙龈边缘也可导致。
5.牙周炎或牙周炎治疗后。牙周基础治疗后炎症消退,牙周袋壁退缩,或牙周手术切除牙周袋,致使牙根暴露。
牙龈退缩会产生哪些后果?
牙龈退缩带来牙根暴露,冷热刺激下容易出现根面敏感不适,若口腔卫生保持不佳,则可能进一步发展出根面龋坏。两牙间的牙龈乳头退缩,牙间隙增大,出现黑三角,容易出现水平型食物嵌塞。且牙根暴露也会影响美观。
如何治疗牙龈退缩?
轻度、均匀、非持续进展的牙龈退缩如无症状,可暂不处理。
若牙龈退缩持续进展,应仔细寻找原因,并针对原因进行治疗,如改变刷牙习惯、调整咬合力等。
有强烈意愿恢复牙龈原有高度,且符合手术条件的,保证牙周健康和稳定的前提下,可以考虑采用牙周整形美容手术来覆盖暴露的根面。主要方法为局麻下冠向复位瓣联合自体上皮下结缔组织移植/替代材料移植,适用于个别牙唇侧或部分牙位唇侧较窄根面暴露。现有手术对于邻面附着丧失量较大的牙龈退缩RT3类(两牙间较明显的“黑三角”)情况可以尝试,但不能保证根面覆盖效果。
本文内容源自网络仅供参考,不作为诊断医疗依据,更多查询请 → 在线咨询客服


