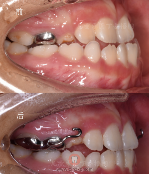
儿童牙医丁香梧桐儿童正畸案例 杭城看牙记 • 2021年7月9日 23:52 • 看牙记 #青上儿牙##儿童早期矫治##地包天# 7岁地包天矫正一年,上颌骨长出来了,牙就不反了。 本文内容源自网络仅供参考,不作为诊断医疗依据,更多查询请 → 在线咨询客服