
乳牙的“牙套”,也就是“预成冠”,是一种在国际上应用十分普遍的乳牙修复治疗手段。
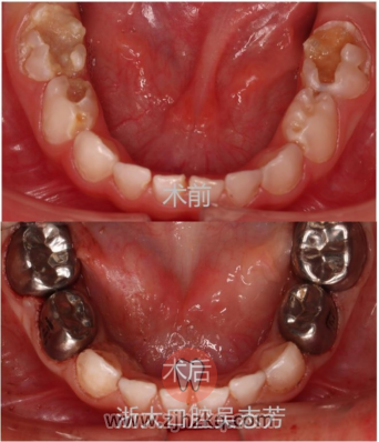
儿童牙套也有三种不同材质:不锈钢金属预成冠(小钢牙)、树脂透明冠和全瓷预成冠。
不锈钢金属预成冠材质为不锈钢,硬度高,颜色为银灰色,美观度欠缺,比较适合用于后牙而非前牙。需要注意的是,金属预成冠不适用于对不锈钢材料过敏或者需要做头部核磁共振的儿童。
树脂透明冠是一种外壳透明,与牙齿形态相近的预成冠,常用于前牙。透明冠内部中空以容纳树脂,修复后须去除透明冠,最后在口内乳牙上保留成形的树脂。
树脂冠能够较好地恢复乳前牙的形态和功能,但树脂材料仍常见老化、折断和脱落的问题。
全瓷预成冠材质为二氧化锆,硬度和美观性较前两者更好,前牙和后牙均可使用。与不锈钢金属预成冠相比,全瓷预成冠的生物相容性更好,避免了牙龈对金属过敏的可能性,且全瓷高度抛光的表面不易积累菌斑,更容易清洁。
全瓷预成冠最显著的优点之一是具有优越的美学效果。儿童早在4岁左右便能感知到前牙不同修复方式在美观上的差异,乳牙进行美学修复有助于提升患儿自信心,利于身心健康发展。
温馨提醒:不是所有蛀牙都一定要做牙套。医生会根据宝宝的情况,制定个性化的多维度的综合治疗方案。
本文内容源自网络仅供参考,不作为诊断医疗依据,更多查询请 → 在线咨询客服


