
网友问,杭州做牙齿贴面好还是烤瓷牙好?
既然要问做杭城地区牙齿贴面好还是烤瓷牙好,那肯定要知道什么是牙齿贴面什么是烤瓷牙。
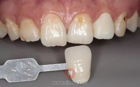
1、什么是牙齿贴面呢?
牙齿贴面是一种牙齿美容修复技术,贴面修复,就是在变色或缺损的牙表面,粘贴一层与正常牙齿颜色相近的材料,达到美观或修复的作用。
2、什么是烤瓷牙?
烤瓷牙是是一种保护牙体的冠修复体,是由低熔烤瓷熔附在铸造金属基底冠上的复合结构的修复体,内冠是合金制成的金属基底冠,外冠是与天然牙相似的低熔瓷粉,真空高温烧结熔附而成。
3、他们之间的差别又是什么呢?
牙齿贴面磨牙少,美观舒适。适合轻中度四环素牙,氟斑牙,轻微牙齿排列不齐,前牙有缝,釉质发育不全,过小牙等。利用牙齿贴面修复后会有美观的成效,对牙齿损伤也小,所以越来越多的人选择贴面的形式来修复牙齿。有磨牙习惯,咬合紧就不适合,或比较拥挤错位的牙齿,都不适合贴面修复。
而牙齿缺失,缺失数量少,邻牙健康,没有炎症,四环素牙、氟斑牙,锥形小牙,牙列形态不好看又不好做正畸治疗,龋齿或牙齿缺损比较大,牙齿颜色是灰色或黄褐色,可通过烤瓷牙恢复美观并增加强度。
两者相比较,烤瓷牙相对牙齿贴面能掩盖的牙齿缺陷更全面一些。
但任何东西都是有他的两面性的,牙齿贴面的缺点是不够坚硬,做贴面时牙体组织磨切比较多,所以选择正规口腔科会可靠很多。烤瓷牙口腔环境不好的容易引起感染,烤瓷牙做完之后没法建立纤维连接的话,就会诱发牙龈萎缩的状况出现,这种状况出现之后牙齿就容易受到刺激。
因此到底做牙齿贴面还是烤瓷牙,具体要通过杭州的正规**的检查,再根据自己牙齿可口腔的情况来定,不是你觉得你适合,而是要牙医觉得你可以!
本文内容源自网络仅供参考,不作为诊断医疗依据,更多查询请 → 在线咨询客服


