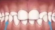
后牙反颌图片 杭城看牙记 • 2022年1月20日 16:19 • 看牙科普攻略 后牙反颌指的是上颌后牙咬合时在下颌后牙的内侧。 本文内容源自网络仅供参考,不作为诊断医疗依据,更多查询请 → 在线咨询客服