
换牙是孩子成长过程中一个自然而重要的阶段,通常发生在6岁到12岁之间,标志着他们从幼儿向青少年迈进。这一过程不仅涉及牙齿的更换,更与儿童的口腔健康、饮食习惯以及生活习惯息息相关。了解换牙期的相关知识,不仅能帮助家长更好地照顾孩子的口腔健康,还能让孩子在这一阶段更加顺利健康成长。
儿童换牙的基本过程:
人的一生有两副牙齿,分别是乳牙和恒牙。乳牙俗称“奶牙”,共有20颗,从胚胎第2个月开始形成,出生后6个月左右萌出,到2岁半左右全部萌出。恒牙有28或32颗,从胚胎第5个月开始形成,在6岁左右开始萌出,随后乳牙便按一定的顺序和年龄逐次脱落而相继被恒牙替换。6至12岁期间,孩子嘴里既有乳牙又有恒牙,医学上称为混合牙列。12岁以后,嘴里全是恒牙,医学上称为恒牙列。
那么换牙的时候孩子会有什么表现呢?
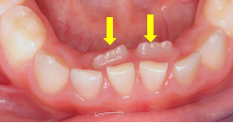
当新生的恒牙开始向口腔萌出,孩子的乳牙会在6岁左右开始出现牙根吸收,逐渐松动,孩子吃东西的时候也小心翼翼的,不敢咀嚼食物,由于牙龈会受到摩擦,还可能导致轻微出血。换牙的顺序通常遵循“先下后上,先中间后两边”的原则。最先替换的是下门牙,随后是上门牙,接着是侧切牙、尖牙和磨牙。这个时候一定要注意口腔清洁,因为食物、软垢容易堆积而导致牙龈炎。到12至14岁时乳牙会全部被恒牙替换。每个孩子的换牙时间可能略有不同,家长无需过度担心。
换牙期间家长需要注意什么呢?
首先家长要关注牙齿的生长情况:如果出现乳牙松动,牙龈轻微出血,孩子咀嚼时牙疼等现象就说明可能开始换牙了;有的孩子乳牙迟迟不掉,会出现“双排牙”;如果出现各种原因导致的乳牙早失,可能会出现恒牙的错位或者出现影响牙齿正常萌出和牙列正常发育的错合畸形,都需要我们及时去口腔医院寻求专业帮助。
另外,小朋友在换牙期间的饮食也需要注意,要多吃含纤维素高,有一定硬度的食物,促使乳牙按时脱落,另一方面也有助于通过咀嚼运动牵动面部及眼肌运动,促进牙床、颌骨和面骨的发育。避免粘性、甜腻食物:这些食物可能影响牙齿生长和健康。多吃富含钙质的食物:如牛奶、豆腐等,有助于牙齿的生长。这时候的小朋友常常会主动要求自己刷牙,但父母应明白这个年龄孩子手的精细运动能力尚未形成,还不能真正刷干净牙齿。因此,家长不仅要指导孩子每日早晚独立刷牙,还需要在孩子刷完后帮孩子使用牙线清理牙缝中的食物残渣。晚上睡觉前不要吃甜食,不要喝加糖的牛奶、饮料,因为口腔里的细菌在人睡着的时候最活跃,易导致龋齿的发生。
还有一点要记住:
在换牙期,乳牙松动即将脱落时,儿童常习惯用舌头舔或者用手指掰动松动的乳牙,这是一种不良习惯,会影响恒牙的正常萌出,应及时给予纠正。家长应每隔3至6个月带孩子到口腔医院检查牙齿的健康,及时处理口腔问题。
本文内容源自网络仅供参考,不作为诊断医疗依据,更多查询请 → 在线咨询客服


