
妞爸觉得这篇看牙记录是一个非常经典的牙周炎案例,如果有类似情况的朋友,真的是要引以为戒哦。
一个28岁的姑娘,张嘴却是一口如82岁老太太般的牙齿,大部分因不同程度的松动而丧失咀嚼功能。
近日,因刷牙时突然一颗门牙脱落,小萌(化名)到杭州口腔医院就诊,当医生告知上排牙已全部不能保留时,她如同遭遇晴天霹雳,想着自己至今连对象都没处,没了半口牙的未来该怎么办?而为什么自己如此年轻牙齿状况就会这样糟糕?一连串的担忧与疑惑一齐涌上心头。
——
一、90后姑娘牙齿不同程度松动,上半口已不能保留全部拔除
个子娇小、穿着时髦,远见小萌与一般90后姑娘没多大差别。只是凑近了就能发现,她用口罩把自己的下半张脸包得严严实实。“元旦放假前我刚把上排牙都给拔了,想象一下没牙的老太太嘴唇塌陷的模样,我现在都不敢照镜子看自己。”说着她拉了拉口罩的边沿,生怕露出一点不美的样子。
而关于小萌的这次拔牙,她的医生说:“那天拔完牙后,她在诊室里呆坐了20多分钟,一屋子的医生护士就静静地陪着,谁也不敢说话。”
事实上,小萌内心非常明白,自己这一口坏牙,在没被拔掉前早已没什么作用。因为大部分有不同程度的松动,最近这6年来,已逐渐丧失了咀嚼功能,她一日三餐只能吃点软的或是糊的东西,偶尔嘴馋时喝点肉汤或是吞块肉,早已不知道吃肉是什么味道。每次跟同事聚餐,她基本都不动筷子,就稍微喝点汤羹意思一下,大家招呼她多吃点,她只能尴尬地笑笑说:“减肥。”
“原来,我以为牙齿松了就松了,影响吃东西正好可以减肥也不错,只要一颗颗都长着不影响美观就好。直到前段时间一天早上刷牙,刷着刷着门牙突然掉了一颗,我本想上医院补一颗就行,没想到医生一检查,我半口多牙已经没用。”说起这些小萌懊悔不已,痛恨自己没能早点重视牙齿的问题。
如今,拔掉没用的牙齿仅是治疗的第一步,为小萌今后的生活质量考虑,她今后还得种牙,需花费十五六万。
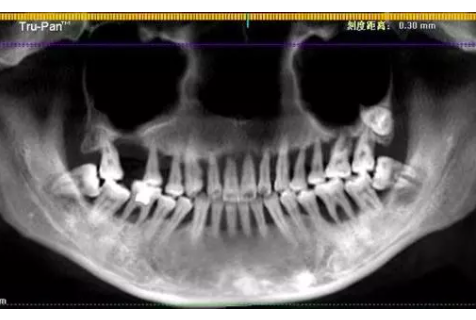
二、牙片中清晰可见小萌的上口牙已摇摇欲坠
6年时间从轻度到重度牙周炎,牙龈出血或红肿万不可小觑
医生说,导致小萌半口多牙松动至功能丧失的是重度牙周炎。牙周炎是种人人都可能遇上的牙周支持组织的慢性炎症,一般从局部发生开始,比如常见的刷牙时出血、牙龈红肿等,若不及时治疗可蔓延至全口牙,同时炎症也会从表面的牙龈深入到牙骨,从牙根上进行破坏。
就拿小萌来说,其实在6年前已出现有两颗牙齿松动,当时她也上医院看过,医生告知这是牙周炎得系统治,她用了点消炎药后牙龈肿痛的症状消失了也就没当回事。直到6年后门牙脱落再就诊,牙龈和牙槽骨严重萎缩,牙根都暴露在外面,给后续的种牙也增添了不少的难度。
“牙周炎从轻度到重度,一般会经历几年到几十年不等,存在较大个体差异,像小萌这样才6年时间就如此严重的实属少见,而且她还这么年轻。无疑给我们所有人都敲响了警钟,对牙周炎这种小病马虎不得,一旦发现及时治疗很重要。”医生说。
牙周健康取决于日常的口腔卫生习惯,最重要的就是每天早晚两次刷牙,尤其是晚上。即使小萌一再强调自己早晚两次刷牙从未间断,但事实证明,她与99%的国人一样,没把这事做到位,即使有的人说自己吃过东西就认真刷牙,可事实上只刷干净了70%,基本上的人不会用牙线或是牙缝刷去清洁两颗牙齿中间的缝隙,而这些地方恰好是牙周致病菌最容易寄生和繁殖的场所。
另外,医生还建议大家要定期进行牙周检查和维护,比如:洗牙可以对附着在牙齿上的牙结石和牙菌斑进行深度清洁,口腔卫生好的人可以半年至一年一次,抽烟或是已确诊重度牙周炎的人最好3个月就洗一次。不过,洗牙并不等于是牙周炎治疗,隐藏在牙龈深处的致病菌还得进行专业的处理,需请专科医生给出长久的方案才能让牙周炎不再复发。
三、口腔卫生糟,为何至今不蛀牙?
在看过小萌令人震惊的牙片之后,细心的人肯定已经注意到,这姑娘的全口牙虽已不同程度的松动,却没有一颗蛀牙。而众所周知,口腔卫生不好也是导致蛀牙的主要原因之一,那么为什么口腔卫生糟到患重度牙周炎的小萌至今不蛀牙呢?
医生说,这是因为导致蛀牙和牙周炎的致病菌菌群不同。导致蛀牙的致病菌主要有变形链球菌、唾液链球菌等,而导致牙周炎的致病菌主要有牙龈卟啉单胞菌、伴放线聚集杆菌等。且两类致病菌的特性也大不相同,前者比较喜欢挑战坚硬的牙体,后者则偏向于侵犯牙周组织。
事实上,每个人口腔里都含有这两类致病菌,只是组成比例存在较大个体差异,当某一种致病菌占比较大时,对应的那一种口腔疾病就会更突出。设想一下,要是小萌嘴里多一些导致蛀牙的致病菌,疼得她早早去治疗,说不定就不会延误至此。不过,归根结底还是得正确刷牙,才能从根本上预防牙周炎和蛀牙的发生。
本文内容源自网络仅供参考,不作为诊断医疗依据,更多查询请 → 在线咨询客服


