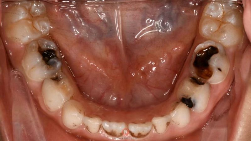
儿童烂牙黑洞图片 杭城看牙记 • 2025年4月10日 09:09 • 看牙科普攻略 儿童烂牙黑洞图片分享大家,当牙菌斑已经渗透到牙齿内部,导致保护层受损,牙体结构遭到破坏,这便是龋齿的形成。 本文内容源自网络仅供参考,不作为诊断医疗依据,更多查询请 → 在线咨询客服