牙齿天然的正常颜色本身是淡黄色,并不是纯白色。牙釉质越健康越透明,就越能透出它深层牙本质的淡黄色来。
大家到处打听过的牙齿美白的各种方法也是多种多样。像美白牙膏、牙粉、美白牙贴、美牙仪、冷光美白,甚至网传“xD纳米浮雕技术”等等,到底哪种方法才是安全可靠且管用的呢?
小绿提醒大家,不要因为着急美白牙齿入坑,不正规不专业的牙齿美白技术会给牙齿带来不可逆的损伤。
专业牙医教你2招方法美白牙齿!
一般来说,正规的牙齿美白有两种方式,一是做冷光美白,二是做全瓷贴面。
一、冷光美白
1、冷光美白是一种科学、安全的牙齿漂白术。
从原理上看,是用氧化剂(如过氧化氢、过氧化脲)置于牙冠表面进行漂白。在氧化剂漂白的过程中,还会辅助使用激光、红外线、冷光照射增加脱色效果。

冷光美白操作时需涂蓝色的护龈树脂
冷光美白适用于轻度四环素牙、牙齿有发黄等情况。
冷光美白需要去正规医院,维持效果更久,美白效果比较好。
2、冷光美白有副作用吗?
在光照的过程中,最常见的就是感到敏感酸痛。
尤其对于某些人已经存在的牙齿隐裂纹、磨耗、牙齿缺损等问题,氧化剂就会通过这些缝隙刺激牙神经,出现敏感。
不过牙医也会有一些预防和补救措施:比如在治疗开始前,如果发现牙齿上的裂纹就用蓝色的护龈树脂覆盖。
而在治疗结束后,如果有比较强烈的敏感症状,也会涂上脱敏剂脱敏。
美白结束后,有可能牙齿会将近持续 2、3 天的酸痛不适(这也是正常的)。
3、效果好吗?
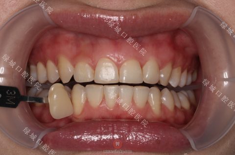
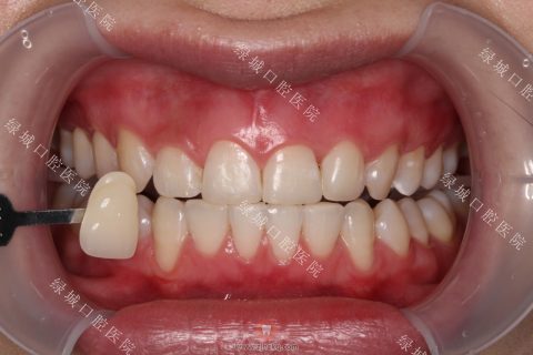
大家最期待的一定是冷光美白的效果。用事实说话,这是我们冷光美白前后的对比,牙色在一定程度上变白,患者也比较满意。

四环色素牙冷光美白前

冷光美白后
冷光美白的效果也不是一劳永逸的。美白效果大约可以保持 1~2 年,之后渐渐又会出现着色。
当然,并不是每个人的牙齿都适合做冷光美白,像是牙齿本身就比较黄,甚至有缺损或畸形,这样的情况就适合做全瓷贴面。
二、全瓷贴面
全瓷贴面是指在不磨牙或少磨牙的情况下,应用粘接材料,在牙齿表面,贴上一层类似贴在窗户玻璃上的薄膜,这层牙齿的薄膜一般厚度在0.5mm左右。
贴面用于恢复牙齿的缺损、遮盖牙齿的变色等情况。
医生说,全瓷贴面适合于三类人群:
①:有轻度四环素牙的人;
②:是牙齿表面有小部分缺损、颜色黯淡、畸形牙的;
③:是牙齿拥挤的人。
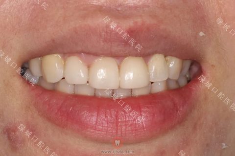
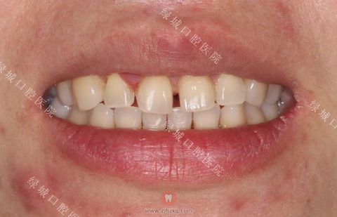
这是一个门牙畸形的患者,因为大门牙关系到一个人的整体形象,为了美观做了全瓷贴面,效果还是很棒的。

患者牙齿治疗前

通过全瓷贴面治疗,牙齿变白且美观了
至于其他牙齿美白的方法嘛,医生建议不要尝试。
小绿再次提醒大家:美白牙贴记得选正规品牌的,做冷光美白也一定要去正规医院找专业的牙科医生。
想要牙齿变白,找对方法才是关键。
感谢绿城口腔医院牙周科为本文提供案例和指导。
本文内容源自网络仅供参考,不作为诊断医疗依据,更多查询请 → 在线咨询客服


