在所有的口腔不良习惯中,口呼吸是家长们最为关注的一个问题。
正常的呼吸功能是通过鼻呼吸的方式进行的,当出现腺样体和(或)扁桃体肥大、慢性鼻炎、鼻窦炎、鼻甲肥大、鼻中隔偏曲等疾病时,正常的鼻腔通道部分或完全地被阻塞,只能被迫用口进行呼吸,久之会引起牙颌面部的发育畸形。
其中,腺样体和(或)扁桃体肥大是儿童口呼吸最常见的病因。肥大的腺样体可以阻塞后鼻孔,使鼻呼吸受阻。
儿童长期口呼吸可呈现特有的腺样体面容:唇外翻,上前牙前突,开唇露齿,牙弓狭窄,腭盖高拱。
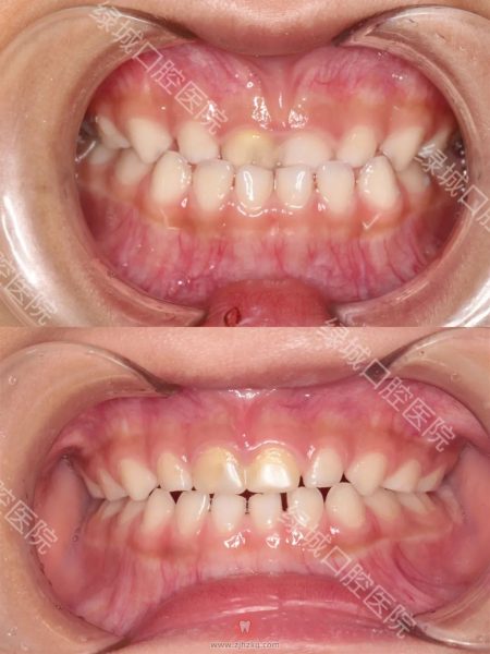
症状:4岁左右,有口呼吸史,地包天

治疗前后对比图

对于这些地包天,需要早期就进行矫治,从而得到明显改善。
绿口儿童口腔科的医生们说,以上的这些口腔不良习惯,不仅仅是牙齿问题,更是孩子的颜值问题,如果孩子无法改掉不良习惯,或者是家长无法判断对孩子的牙齿有没有造成影响,那么都建议尽早带到正规口腔医院来面诊。
本文内容源自网络仅供参考,不作为诊断医疗依据,更多查询请 → 在线咨询客服


