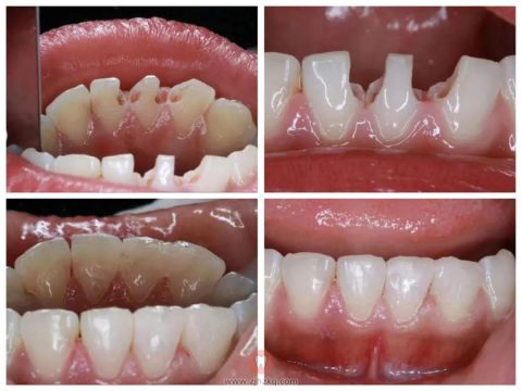
门牙被蛀了一个洞门牙龋齿高清图片 杭城看牙记 • 2022年9月22日 20:47 • 看牙科普攻略 补牙适用于龋坏没有累及牙神经、牙髓正常的患者,只需要将龋洞清理干净后,用补牙材料充填,一次即可完成。如龋坏很深,接近牙髓,充填治疗前要选择保髓材料进行盖髓治疗,尽力保存活髓。如缺损面积过大,树脂充填强度不足,难以获得满意的充填效果,则需要考虑嵌体修复。 本文内容源自网络仅供参考,不作为诊断医疗依据,更多查询请 → 在线咨询客服