分享自钱江晚报的一则新闻,有警示意义,年年都有很多此类问题的孩子出现。

乳牙自然脱落,恒牙随后逐渐萌出,这是小朋友长到六七岁时必然要经历的一个换牙过程。
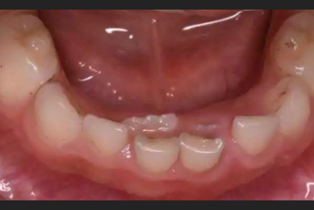
可如今,越来越多的小朋友出现换牙“程序”有点错乱的问题,还没等乳牙“下岗”恒牙就迫不及待“上岗”,于是,两颗牙并排在岗,只能请牙医通过“暴力”的方式强制要求乳牙“下岗”,否则将严重影响牙齿的美观与健康。
在杭州口腔医院儿童齿科,7岁的小男孩天天(化名)刚拔完牙,随着麻药劲慢慢过去他开始感觉到疼痛,起先是用力捂着嘴巴,后来实在忍不住了就扑进奶奶的怀里哭了起来。
听接诊医生钱晓云说,自去年11月以来,这已是她为天天拔的第四颗牙,原因都是同一个:乳牙还没脱落,恒牙就已在旁边长出来。
“双排牙的问题现在在临床上很常见,我们碰到每10个小朋友至少有5个存在,有些好一点的乳牙已经松动,而有些厉害的乳牙纹丝不动,只能通过外力拔除。”钱晓云医生说,之所以会有越来越多的小朋友出现双排牙,其实关键问题就出在家长的喂养方式上,太精细。
就拿天天来说,钱医生曾与他奶奶有过深入的沟通。小朋友从小就胃口不好,因此在喂养上大人向来非常上心,从6个月添加辅食开始,各种食物都是精心研磨,水果一直都是榨汁,最“偷懒”的也得去皮切块。很少会有机会得用牙齿费劲的咬。
“牙齿就跟肌肉一样用进废退,尤其是小朋友在生长发育阶段,更需要多锻炼。”钱医生说,恒前牙一般都比乳前牙大1/3左右,如果不通过锻炼来促进颌骨的正常发育,恒牙就会因没有足够的空间长而排列不整齐,甚至是出现双排牙。这也就是为什么大家说“小时候牙齿太整齐换牙以后往往不太好看”。
钱医生特别提醒各位家长,给孩子的饮食别太精细,应多给些原生态的食物让孩子锻炼牙齿与颌骨。
如果你的孩子目前正处于幼儿园中大班的阶段,赶紧看看他们牙齿间有没有足够的缝隙。如果没有的话,适当增加牛肉干、豆子等坚硬的食物让孩子多用大牙嚼嚼,促进颌骨发育,应该在孩子10岁前都还有机会。
而如果你的孩子这会已经出现双排牙且乳牙有些松动,那么可以多吃玉米和苹果,注意是用门牙咬,也对恒牙的整齐美观有帮助。
本文内容源自网络仅供参考,不作为诊断医疗依据,更多查询请 → 在线咨询客服


