我是前牙有点拥挤,也比较歪斜,一张开嘴别人就能看到,挺不美观。
特别是在去年刚毕业找到新单位的时候,开始关注起自己的牙齿,因为总是看到单位的小姐姐笑起来都很好看呐,啊啊啊,所以去做了牙齿矫正。
当时在杭州也去了好几家大的口腔医院咨询,感觉都挺专业靠谱的,也有医生建议我做前牙瓷贴面,可是医生说需要把牙齿打磨掉再做贴面,我就一直很纠结,最后是在杭州某口腔医院做的前牙微矫正。
我的矫正医生卢慧医生是个漂亮的大姐姐,她说我仅仅是前牙比较拥挤,后牙还算整齐,不用大动干戈。最让我满意的是矫治器是安装在牙齿内侧的,别人都看不出来我带了矫治器,深藏功与名~
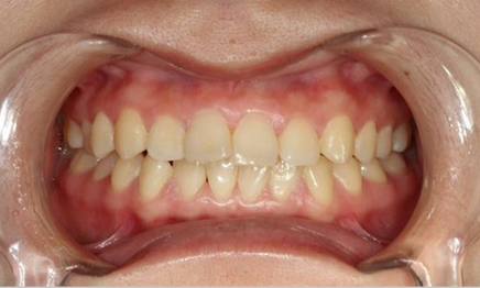
图一是我刚去医院的时候给我拍的照片,可以看到上下的前牙都是野蛮生长!

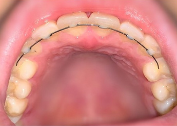
图二是刚刚粘了矫治器时候给我拍的照片,矫治器一般别人都看不见~

图三是6个月左右时候拍的,牙齿整齐了很多有么有!

现在矫正基本已经完成了,最近我也屯了很多口红,各种颜色的,因为牙齿整齐了任性!
本文内容源自网络仅供参考,不作为诊断医疗依据,更多查询请 → 在线咨询客服


