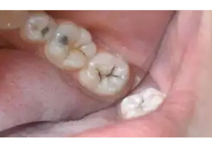
浅龋图片 杭城看牙记 • 2020年10月21日 00:04 • 看牙科普攻略 当我们身上有小黑点时,您毫不在意地说:“没事的,没感觉。” 牙医说:“龋病是由以细菌为主的多因素导致的牙齿硬组织发生慢性进行性破坏的一种疾病。已经开始浅龋即牙釉质龋,需要做药物治疗或充填治疗。 本文内容源自网络仅供参考,不作为诊断医疗依据,更多查询请 → 在线咨询客服