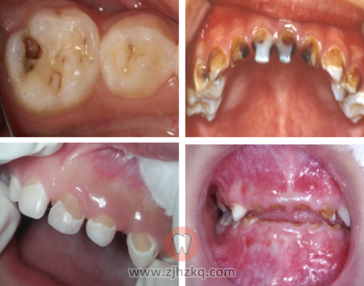
儿童蛀牙龋齿要怎么治疗 杭城看牙记 • 2021年7月1日 23:06 • 看牙科普攻略 乳牙龋坏不及时治疗会影响恒牙健康!乳牙龋病特点为患龋率高,发病时间早,发展快。 第四次流调显示5岁儿童患龋率为70.1%,龋坏很快就会发展成牙髓炎,根尖周炎甚至形成残根残冠,初期症状不明显,往往要引起疼痛后才前来就诊,这时涉及范围广,往往可累及多个牙位,甚至一颗牙齿多个牙面同时发生龋坏。 本文内容源自网络仅供参考,不作为诊断医疗依据,更多查询请 → 在线咨询客服