牙酸蚀症,即因非细菌性的酸侵蚀导致的牙齿硬组织的丧失,通常体现为牙齿咬合面、唇面及牙颈部的楔状或浅凹状缺损。

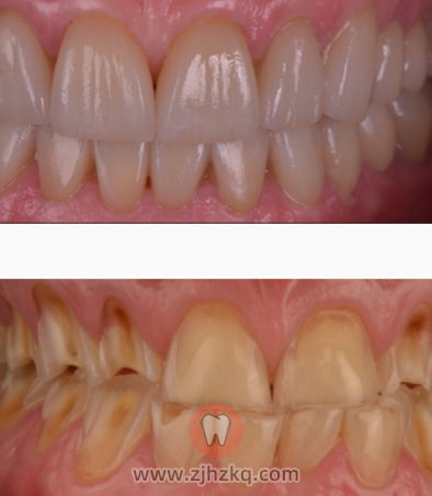
如上图,牙齿酸蚀后的变化非常显著
牙酸蚀症的典型临床表现,如上图所示,牙齿表面弹坑样丝绸状的缺损,可伴有旧充填物高出牙面。
上前牙切端变短,此种表现与碳酸饮料及胃食管反流关联较大。
由于牙龈及龈沟液的阻挡,酸蚀导致的牙齿损害止于牙龈以上,往往形成的病损很有特征性。

提醒大家一些酸蚀症的有关症状,有这样一些情况应该及时识别并就医:
(1)牙齿表面出现凹坑,特别是前牙的唇侧面,通常伴随牙色的变化(比如牙齿在数年内变黄)
(2)牙齿冷热刺激敏感,伴有近期大量进食饮料,或者有胃部不适,习惯性呕吐等情况者。
(3)牙齿的磨耗程度跟身边人不一样
(4)有长期反酸等胃部不适症状
本文内容源自网络仅供参考,不作为诊断医疗依据,更多查询请 → 在线咨询客服


