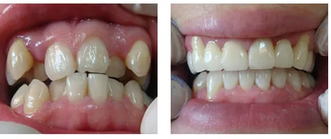
余杭**孙刚正畸案例 杭城看牙记 • 2021年4月25日 22:12 • 看牙记 孙刚,副主任医师,已在口腔颌面临床工作25年,在我国多地口腔医院专业进修,具有较强的处理口腔颌面部复杂手术的能力,手术技术深受患者信赖,积累了较丰富的唇腭裂修复临床经验。是一个年轻有为、服务态度端正和正能量的医生。 杭州市余杭区****孙刚医生牙齿矫正案例: 本文内容源自网络仅供参考,不作为诊断医疗依据,更多查询请 → 在线咨询客服