


洗牙主要是洗掉牙齿上的牙菌斑、牙结石,洗完以后,牙齿“负担”的牙石、菌斑全部脱落,会重新恢复原本光滑健康的乳白色。
但是,如果菌斑和软垢较多,那么洗起来是比较费时费力的,因此出现牙龈流血,是正常的。洗完牙齿以后,没有牙结石的“保护”,裸露的牙面开始直接接触冷热食物,就会出现牙齿敏感。就像冬天脱去厚衣物,直接把自己暴露在冷空气里会突然打个激灵一样。属于机体的正常反应,给予一定的时间适应牙齿就能恢复正常了。
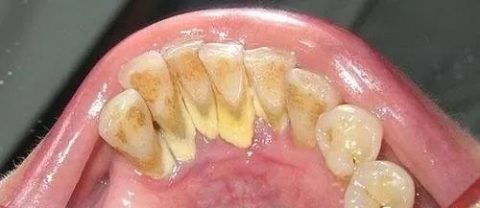
对于十几、二十年没有洗过牙的人来说,牙齿已经被牙结石包围了,且牙石已经向牙缝、牙龈下方累积。此时去洗牙,不但会出血,洗完牙齿以后会明显感觉到牙缝变大、牙齿松动了。这是因为沉积在牙缝、牙龈间的牙石使牙龈出现了大幅度的萎缩,这些东西被洗掉以后,牙齿失去牙石的支撑,又没有足够的牙龈保护,因此会明显变松。
本文内容源自网络仅供参考,不作为诊断医疗依据,更多查询请 → 在线咨询客服


