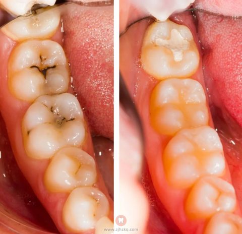
牙齿出现黑线要不要看牙**真实图片 杭城看牙记 • 2022年10月21日 19:46 • 看牙科普攻略 牙齿缝隙里面长的黑线其实是柱齿的征兆,而这个时候并没有非常的严重,所以外表看起来仅仅只是一条简单的黑线里面可能已经是一个很大的洞了,如果当我们的牙齿产生了黑线的时候,大家需要注意了,不然会越来越严重,最后可能不只是修复牙齿的问题了,可能还要花费一大笔钱来看牙医。 本文内容源自网络仅供参考,不作为诊断医疗依据,更多查询请 → 在线咨询客服