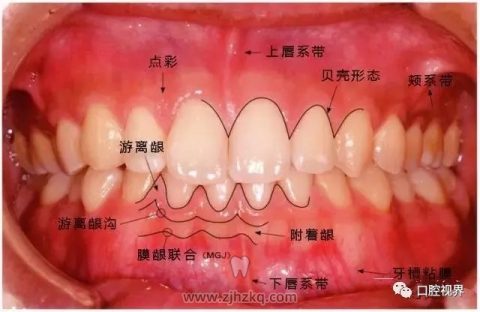
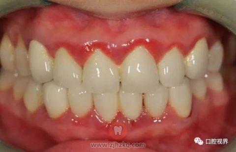
牙龈红肿真实图片 杭城看牙记 • 2022年9月14日 22:40 • 看牙科普攻略 最近刷牙总出血,吓的我都不敢刷了。我感觉这牙龈好像肿着一样,鼓鼓的,如上图。 没错,正常的牙龈如下图。牙龈组织包括游离龈、附着龈和龈乳头三部分。健康牙周组织的牙龈缘呈浅粉色,龈乳头充填于相邻两牙接触区,牙龈边缘相连呈贝壳形。点彩具有像橘皮样的点状凹凸。 根据我国第四次全国口腔健康流行病学调查报告结果显示,与第三次全国口腔健康流行病学调查相比牙龈出血检查率还上升了10%。由此看来,牙周状况不容乐观呢! 来源:口腔视界 本文内容源自网络仅供参考,不作为诊断医疗依据,更多查询请 → 在线咨询客服