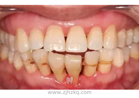
牙龈萎缩症状图片 杭城看牙记 • 2021年4月24日 11:42 • 看牙科普攻略 牙龈萎缩也是牙周炎的症状之一,但患者常不易察觉。由于长时间受大量牙石的压迫,刺激牙龈。所以,龈缘外形出现水平式的退缩。至于老年性的牙周组织退缩,一般属于正常的生理退缩。 一方面是因为牙周组织本身的退缩;另一方面是由于牙齿的磨耗而使牙齿继续萌出,形成牙根面暴露。由于牙根面的暴露,对冷、热、甜、酸食物或机械性刺激,均有敏感的表现。 本文内容源自网络仅供参考,不作为诊断医疗依据,更多查询请 → 在线咨询客服