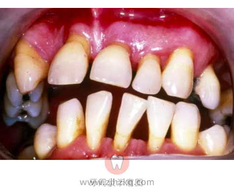
牙龈萎缩图片 杭城看牙记 • 2021年4月20日 17:02 • 看牙科普攻略 牙齿有什么问题是最可怕的?智齿?龋齿?牙不齐? 都不是!毕竟这些牙齿问题都是可以通过治疗修复的。 对于大多数人来说,牙龈萎缩才是最恐怖的。因为牙龈萎缩很可能是终身的。 牙龈萎缩在老年人中比较常见。但是这并不是说成年人和幼儿、青少年不会牙龈萎缩,现在越来越多的年轻人已经开始出现牙龈萎缩问题,所以我们要从自身引起重视。 本文内容源自网络仅供参考,不作为诊断医疗依据,更多查询请 → 在线咨询客服