
这位50岁左右的阿姨,来自团队医生的转诊,牙周炎很严重,从照片上可以看到上牙及后边大牙积聚着大量的色素沉着和牙结石,牙龈萎缩严重、牙根暴露量较多,而且上前牙和后边大牙缺失,已经严重影响咀嚼功能,美观度上更是“大打折扣”。
牙菌斑、牙结石大量聚集
针对阿姨的牙周情况,我们做出了详细的治疗计划:
1、牙周基础治疗,行龈上洁治、龈下刮治;
2、行FGG(游离龈瓣移植术),增加附着龈宽度,根面覆盖;
FGG(游离龈瓣移植术)
3、前、后牙缺失种植;
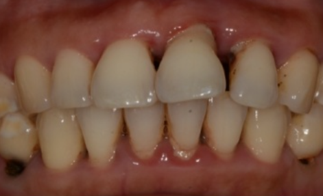
阿姨是环卫工,人特别好,整个治疗过程非常的配合,经过1年左右的时间完成了全部修复,对修复效果非常满意,前前后后的花费已经超过5个w,阿姨却说花再多的钱也要治,健康最重要。
没错,健康才是我们最宝贵的财富。
阿姨现在也能做到按时复诊,所以医患双方的共同努力才有最后大家满意的成果。
来源:杭口金冬梅院长
本文内容源自网络仅供参考,不作为诊断医疗依据,更多查询请 → 在线咨询客服


