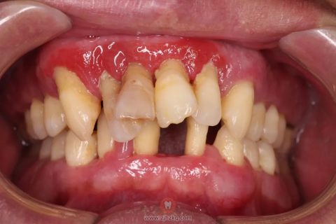
牙周炎真实口腔状况图片 杭城看牙记 • 2022年10月4日 21:43 • 看牙科普攻略 牙周炎的真实口腔状况 牙周炎好发于口腔卫生习惯差的人群;牙周炎的患病率和严重性随年龄增高而增加,35岁后明显增高,在50-60岁时达高峰(69.3%),另外遗传因素、错颌畸形导致的咬合创伤、糖尿病、骨质疏松症、吸烟、心理压力大等都是牙周炎的危险因素,而男女性别并无差异。 来源:义乌** 本文内容源自网络仅供参考,不作为诊断医疗依据,更多查询请 → 在线咨询客服