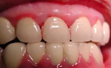
牙龈炎照片图片和症状 杭城看牙记 • 2021年8月1日 13:01 • 看牙科普攻略 牙龈炎阶段:牙龈红肿出血,牙齿周围有牙石 牙周疾病在早期只侵犯牙龈称为牙龈炎,主要症状是牙龈红肿、刷牙或咬硬物时出血。 本文内容源自网络仅供参考,不作为诊断医疗依据,更多查询请 → 在线咨询客服