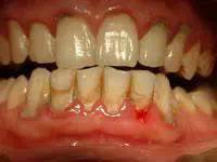
早期牙周炎照片 杭城看牙记 • 2022年2月2日 14:28 • 看牙科普攻略 早期牙周炎:除牙龈炎症外,牙周袋形成,牙槽骨轻度吸收。 牙周病是一种慢性进展的疾病,牙周组织一旦遭到破坏是不可逆的,所以,预防和早期发现、早期治疗是非常重要的。 本文内容源自网络仅供参考,不作为诊断医疗依据,更多查询请 → 在线咨询客服