
杭州网友,杭州雅莱齿科正畸水平怎么样?
做矫正,医生的方案设计尤为重要,是决定你矫治效果的关键。大家可以看看,诸如深覆颌牙齿的矫正效果如何。
牙齿深覆颌,很容易咬伤牙龈,还容易导致前牙牙周炎及面部关节疾病,还一定程度的影响咀嚼功能。
从外貌来说,牙齿深覆合会使我们的下面部变短,达不到美学中“三庭五眼”的审美标准。这也是许多有深覆合的人选择做矫治的原因。
关于牙齿深覆颌的危害
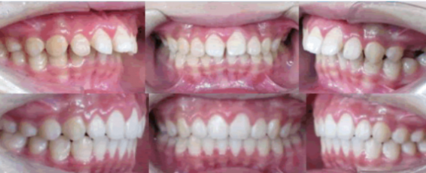
一位顾客,在雅莱齿科历时2年完成了她的深覆合矫正。矫正后的牙齿排齐,咬合恢复正常。
顾客自述,她之前因为深覆合导致“没有下巴”,牙齿整齐后,下巴也貌似出来了。好久没见的同学,都以为是做了垫下巴呢,其实只是矫正了牙齿…..

所以说,找一位靠谱的正畸医生太重要啦,在帮你治疗牙齿问题的同时,还能一定程度的提升“颜值”呢!
杭州雅莱齿科王龙院长表示:牙齿矫正不仅仅是排齐牙齿,更是纠正不良的咬合关系,恢复牙齿的正常功能和状态,也能在一定程度上改善由于牙齿问题而导致的面型问题。
本文内容源自网络仅供参考,不作为诊断医疗依据,更多查询请 → 在线咨询客服


