据最新的全国口腔健康普查显示,65岁以上长者缺牙人数高达7成,大多数缺牙者,不能意识到问题的严重性,等一等、拖一拖,给口腔修复带来很大麻烦!
“假牙?没有一副戴起来舒服”
72岁老人决定种植牙
72岁章阿姨(化名)退休前是一名幼师,喜欢社交,经常在聚会中跳舞唱歌,但是美好的心情经常被假牙弄得很糟糕,唱歌说话漏风,吐字不清,还让章阿姨无法咬硬物,多数美味都无法尽情享用。
前些年,章阿姨下颌戴上了普通活动全口假牙,然而由于牙槽嵴渐渐重度吸收,活动牙固位差,反复压迫牙龈,导致章阿姨口腔溃疡不断,疼痛难忍,假牙反复调改也没有改善,深深困扰她的正常生活。
“以前不懂,以为缺牙后只要镶一副活动假牙就好了,可自从戴上活动假牙后,想吃点肉吧,根本咬不动,吃点蔬菜也咬不烂,只能吃些软食,日子特别不好过,这些年换了好几副假牙,没有一副戴起来舒服的。”章阿姨说。经过**口腔科副主任张建兴副主任医师诊治,张建兴给章阿姨制定了下颌吸附义齿或下颌固定种植桥两个方案,章阿姨下定决心做种植牙。
“老掉牙”不能放任不管
种植牙是解决高龄失牙患者
咀嚼问题的方法之一
张建兴称,世界卫生组织在2001年就正式提出了“8020计划”,如果我们能很好地保护牙齿,到80岁时,完全可以有20颗以上的牙齿,口腔健康要以预防为主。不少中老年人以为“老掉牙”是正常的生理现象,随着年龄的增长,牙齿因为牙周病或牙体疾病逐渐脱落,放任不管,等到想要修复的时候,却被医生告知由于根尖周反复发炎,牙槽骨严重萎缩,镶牙已经非常困难了。
做活动假牙?清洗摘戴麻烦、挂钩容易使食物残留,余留牙继续龋坏;做烤瓷桥,基牙条件差又不适合。张建兴介绍,种植牙接近自然牙,有独立牙根,可保证舒适感和咀嚼力,是优先选择,也是解决中老年失牙患者咀嚼问题的方法之一 。
数字化种植牙:
更精准、高效、无痛
当天做临时牙,当天即可进食
考虑到章阿姨72岁高龄,张建兴详细了解了她的情况,为她量身定制了种植牙方案。通过计算机辅助设计出植入路径,通过数字导航精准植入4枚德国Ankylos植体,当天装上临时牙,当天即可开始进食,3个多月后再进行永久修复。

△数字化设计

△数字化导板戴入口内

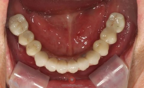
△下颌修复过程中

△下颌永久修复后
成功完成种植牙的章阿姨高兴地表示,以前总担心年龄大了,种牙也不稳,反正用活动假牙将就几年就是几年了。“种牙后,发现以前的担心都是多余的。种植牙真的比活动假牙好太多,又不用每天摘下来清洗 ,又坚固耐用,而且还和真牙一样,种牙也没有想象中那么难,种植过程也不是想的那么痛,真应该早点来种牙!”
张建兴介绍,传统种植牙需先将牙龈切开,然后根据医生经验在目测下植入人工牙根,手术时间长,过程复杂。而数字化种牙,首先拍摄口腔CT,把数字化影像导入软件,提前预知种植效果;同时设计加工个性化种植导板;为缺牙患者量身定制3D种植导板,能更精准掌握种植角度和深度,大大减少创伤,缩短手术时间,做到全程精准微创!
数字化种植牙既可用于单个、多个牙齿缺失,也适用于半口、全口无牙的种植修复,已经为越来越多的患者带来福音。
来源:**口腔科
本文内容源自网络仅供参考,不作为诊断医疗依据,更多查询请 → 在线咨询客服


