
近日,一位4岁的小女孩,因为一颗乳牙烂了一个洞,没有及时治疗,引发了骨髓炎,不得不接受刮骨治疗。
专家表示,这名女孩的乳牙龋坏影响了恒牙牙胚发育,今后会导致缺牙;而骨髓炎则会导致其颌骨发育受影响,长大后很可能会牙列不齐。
家住黄陂的郑女士,有一个可爱的姑娘轩轩(化名)。轩轩性格开朗、招人喜欢,唯独口腔状况不好令郑女士十分头疼。
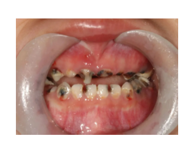
“医生检查她有多颗牙齿龋坏发黑。”郑女士说,轩轩不喜欢刷牙,刷牙不认真,她也疏于引导,才让孩子遭了罪。
5月下旬的一天,轩轩的下巴突然鼓起一个包,不疼不痒。郑女士以为是被蚊子叮的,因此并未在意。
“肿包开始化脓,穿破了皮肤!”6月1日,轩轩在家哭闹不止,郑女士端起轩轩的下巴一看,吓坏了,赶紧带着她来到武汉**医院。轩轩被诊断为“乳牙龋坏导致的颌骨骨髓炎”。
“孩子长出的乳牙几乎烂光,左下颌骨处还有瘘管。”接诊的副主任医师吕坤解释,龋坏乳牙周围有脓液和大量炎症组织,波及到乳牙下方的下颌骨,形成了骨髓炎。
当日医生便为轩轩“刮骨疗毒”,清除了软组织脓肿和骨髓炎病变骨。
吕坤提醒广大家长,乳牙龋坏要及时治疗,尤其是出现面部红、肿、热、痛等炎症感染表现时,必须及时正确治疗,否则后患无穷。此外,一定要重视孩子的乳牙健康,少吃甜食,早晚刷牙,保持口腔卫生。
本文内容源自网络仅供参考,不作为诊断医疗依据,更多查询请 → 在线咨询客服


