
“医生,为什么乳牙还要做根管治疗啊?不做可以吗?孩子还有第二副牙可以换啊,等换牙不行吗?”
01、为什么需要根管治疗
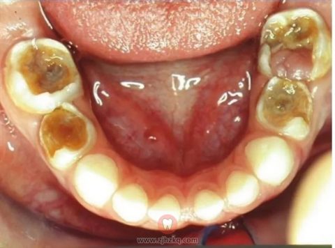
需要做根管治疗的牙齿,是已经出现疼痛或牙神经已经发炎,或甚至已经出现根尖周炎或者是根尖周脓肿了,如果不及时治疗疼痛会一直持续发展,而且有可能会导致恒牙胚受损会导致恒牙的萌出异常,而且这种疼痛会影响儿童咀嚼。
02、什么是根管治疗
乳牙根管治疗,是通过根管预备和根管消毒,去除感染物质对根尖周组织的不良作用,并用可吸收的充填材料充填根管,防止发生根尖周病,促进根尖周病变愈合的治疗方法,其治疗步骤主要包括术前准备、开髓以及根管填充。
1、术前检查
乳牙根管治疗术前,必须拍摄X线片,评估乳牙炎症状态、牙根吸收情况,以及恒牙的发育情况,再制定具体的方案
2、开髓
开髓之前需进行局部麻醉,开髓之后可以直接拔除牙神经,也可以使用封牙神经的失活药。
如果是直接拔除牙神经,可以直接进行根管扩大和根管消毒。
如果是使用封杀神经的药,需下次再做根管扩大预备和根管消毒,在根管消毒以后封上药,大概1周左右可以进行根管充填。
3、根管填充
为了让乳牙的牙根能够继续吸收,一般使用的是可吸收的糊剂,如氢氧化钙糊剂。牙根根管充填以后,牙冠充填可以用树脂或玻璃离子,或是做预成冠,把牙保护起来。
03、根管治疗后还需注意什么
乳牙做了根管治疗一般不影响以后恒牙的正常萌出。
根管治疗结束后,由于牙齿缺少牙髓的营养供给,牙体组织质地变脆,遇到较大的咀嚼力时容易发生牙裂,所以平时不要咀嚼过硬食物。
根管治疗时填充的材料有脱落可能,应及时复诊,观察牙齿恢复情况,以便调整治疗方案,促进牙齿恢复。
建议一定要到正规**就诊,以免延误病情,产生不良后果。
来源:**儿院口腔科
本文内容源自网络仅供参考,不作为诊断医疗依据,更多查询请 → 在线咨询客服


